

Custom Porcelain Veneers in Hailey & Ketchum, Idaho
We may recommend dental veneers to reshape and restore teeth that are discolored, misaligned, or have other flaws. Custom-made veneers can be used for just one tooth or for your entire smile
-
Porcelain & Resin Veneers
-
Custom-Made for Your Smile
-
Natural-Looking Results
-
Hailey & Ketchum, Idaho
Small Town Values · World-Class Dental Care
VENEERS
Cosmetic Dentistry
We may recommend dental veneers to reshape and restore teeth that are discolored, misaligned, or have other flaws. Custom-made veneers can be used for just one tooth or for your entire smile.

Provide you with a naturally beautiful smile that you can enjoy for many years.
"
Our dentist may recommend dental veneers if you would like to improve the appearance of your smile. Custom-made veneers can be used for just one tooth or for your entire smile. We may suggest veneers to:
-
Close large spaces and gaps between teeth
-
Whiten teeththat are severely stained or discolored
-
Improve the appearance of irregularly shaped teeth
-
Correct slightly crooked teeth
-
Restore teeth that are broken, chipped, worn, or fractured
The Porcelain Veneers Process — What to Expect from Your Cosmetic Dentist in Hailey & Ketchum
Veneers are very thin shells, typically made of porcelain or resin, that are bonded to the front of your teeth to enhance the beauty of your smile. Our dentist may recommend dental veneers to correct several types of smile imperfections. Porcelain veneers are an excellent choice for enhancing your smile because the color and translucence of porcelain is a great match for the natural appearance of tooth enamel. Porcelain is stain resistant as well, so your smile will stay bright for years to come. Resin veneers can also be matched to your natural tooth color. With dental veneers, you can achieve a beautiful, natural-looking smile that you will love to show off.
Porcelain Veneers
Color and translucence closely matching natural tooth enamel — plus stain resistance to keep your smile bright for years to come.
Resin Veneers
Custom-matched to your natural tooth color — a versatile option for correcting flaws and achieving a seamless, beautiful smile.
Custom-Made for You
Whether for just one tooth or your entire smile, every veneer is individually crafted for a naturally beautiful, long-lasting result.
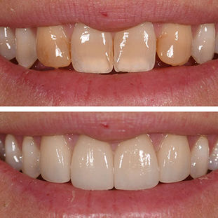
Real Veneer Transformations.
Real Confidence.
See the real difference porcelain veneers can make. Our before-and-after gallery showcases genuine smile transformations from patients right here in Hailey, Ketchum, and the Wood River Valley — and the confidence that comes with finally loving the way you smile.

Why Patients Choose
Porcelain Veneers at Wood River Dental
Veneers are one of the most powerful cosmetic dentistry tools available — delivering dramatic smile transformations in as few as two appointments. Here's why patients across the Wood River Valley choose veneers.
Dramatically Beautiful Results
Veneers can transform the color, shape, size, and alignment of your teeth — delivering a stunning, symmetrical smile that looks completely natural.
Stain-Resistant & Durable
Porcelain veneers are highly resistant to staining from coffee, tea, and wine — so your bright, beautiful smile stays that way for years to come.
Minimally Invasive
Veneer placement requires only minimal tooth preparation — preserving more of your natural tooth structure while achieving dramatic cosmetic results.
Instant Confidence Boost
Patients consistently tell us that veneers changed how they feel in every area of life — smiling freely, speaking confidently, and feeling great about their appearance.
Are Veneers
Right for You?
Veneers are ideal for patients with healthy teeth who want to improve their smile's appearance. Here's a quick guide — the best way to know is a consultation with our team.
Veneers May Be Right If...
Your teeth are structurally sound but you want to dramatically improve their appearance for a smile you love to show off.
-
Your teeth are chipped, cracked, or worn
-
You have stubborn staining that whitening hasn't fixed
-
You want to close gaps between teeth
-
Your teeth are slightly crooked or misshapen
-
You want a dramatic cosmetic improvement
-
You want natural-looking, long-lasting results
Comprehensive Care Under One Roof
We'll Evaluate Together If You Have...
Some situations require a closer look before recommending veneers — but many patients in these cases are still great candidates.
-
Significant tooth decay or gum disease needing treatment first
-
Very thin or weakened tooth enamel
-
Severe teeth grinding or clenching (bruxism)
-
Teeth that are severely misaligned (orthodontics may help more)
-
Concerns about the number of teeth being treated
-
Questions about porcelain vs. resin options
Expert Cosmetic Dentistry
from Dr. Dan Nelson & Dr. Jared Hill


Dr. Jared Hill DDS & Dr. Dan Nelson DMD
Dr. Nelson and Dr. Hill bring years of specialized expertise in porcelain veneers and cosmetic dentistry to every patient at Wood River Dental Care — combining advanced technique with a personal, caring approach that makes all the difference. From your first consultation to your final smile reveal, you'll receive one-on-one attention from a team that is genuinely invested in achieving the results you've always wanted.
Frequently Asked Questions —
Veneers in Hailey, ID
Have questions about veneers? We've answered the most common ones below. Call (208) 788-4900 if you don't see yours.
What are dental veneers?
Veneers are very thin shells — made of porcelain or resin — that are custom-crafted and bonded to the front surface of your teeth to improve their color, shape, size, or overall appearance.
How long do veneers last?
Porcelain veneers typically last 10–20 years with proper care. They are durable and stain-resistant — regular cleanings, avoiding hard foods, and wearing a night guard if you grind your teeth all help extend their lifespan.
What is the difference between porcelain and resin veneers?
Porcelain veneers are more durable, more stain-resistant, and closely mimic the natural translucence of tooth enamel — lasting 10–20 years. Resin veneers are less expensive and can be placed in a single visit, but typically last 5–7 years. Our team will help you choose the best option for your goals and budget.
Are veneers painful to get?
Veneer placement is a gentle, non-surgical procedure with minimal tooth preparation. Most patients experience little to no discomfort. Local anesthesia can be used if needed to ensure you're completely comfortable throughout.


